Dental implants provide a strong, long-lasting solution for replacing missing teeth. Our experienced team uses advanced techniques to restore the look, feel and function of your natural smile.
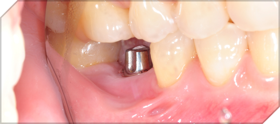
Your journey towards a confident and healthy smile begins with a thorough examination and assessment of your dental health. If you’re deemed a suitable candidate for dental implant treatment, the transformation can begin. The first step involves the placement of the titanium implant. The implant is then left to integrate for a period of 3-6 months. After the implant has integrated, a connector post, called an abutment, is placed on the implant. Finally, a custom-made crown is affixed to the abutment, completing the dental implant process. With proper care and maintenance, dental implants can last a lifetime, providing a durable and natural-looking tooth replacement option.
With proper care and maintenance, these implants can last a lifetime, providing a strong and natural-looking tooth replacement option. Embrace your journey towards a brighter, healthier smile today!
Dental implants are widely regarded as the most effective tooth replacement option because they offer:
Natural look and feel
Strong, secure bite
Long-lasting results
No need to affect neighbouring teeth
Improved confidence when eating and smiling
Support for long-term oral health
With proper care, dental implants can last many years.
Dental implants may be suitable if you:
Have one or more missing teeth
Wear loose or uncomfortable dentures
Want a fixed alternative to bridges
Have healthy gums and adequate bone support
The best way to confirm suitability is with a detailed implant consultation.
Dental implant treatment starts from £2,700 per implant, depending on the complexity of your case and the type of restoration required.
Your initial implant consultation is £75, which includes a comprehensive assessment and personalised treatment planning.
You will always receive a clear, transparent quotation before any treatment begins.
A dental implant is a small titanium screw that is placed in the jawbone to replace the root of a missing tooth. It is then topped with a dental restoration such as a crown or bridge to restore function and aesthetics to the smile.
Any dental procedure may cause some discomfort, but patients can expect to receive anesthesia to numb the area and reduce pain. After the procedure, over-the-counter pain relievers such as ibuprofen can be taken to manage any discomfort.
Dental insurance coverage for implants varies depending on each individual’s policy. It’s best to check with your insurance provider to see what is covered.
The length of dental implant treatment varies depending on individual circumstances and the number of implants needed. In general, implant placement requires a minimum of 2-3 visits over a period of several months to allow for proper healing and fusion of the implant with the jawbone.
With proper oral hygiene and regular dental checkups, dental implants can last a lifetime.
Like any medical procedure, there are some risks involved with dental implant treatment. These include infection, nerve damage, and implant failure. However, with a skilled and experienced dentist, the risks can be minimized.



















